Главный врач, стоматолог, стоматолог-хирург и ортопед
Зубы мудрости — настоящие «проблемные дети» в стоматологии. Когда появляется глубокий кариес зуба мудрости, перед пациентом встает сложный выбор: пытаться сохранить зуб или сразу удалить его? Давайте разберемся в этой ситуации подробно, чтобы вы могли принять informed решение.
Ситуация, когда зуб мудрости почернел но не болит, встречается очень часто. Отсутствие боли — это коварный признак, который может означать:
Даже если боли нет, процесс разрушения продолжается и может привести к серьезным осложнениям.
Почему почернел зуб мудрости? Есть несколько основных причин:
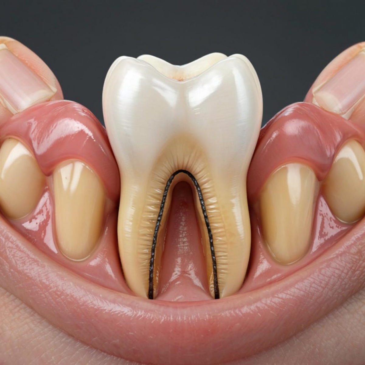
Глубокий кариес зуба мудрости имеет свои особенности:
Вопрос «кариес на зубе мудрости лечить или удалять» решается индивидуально. Удаление рекомендуется, если:
Лечение возможно, если зуб занимает правильное положение и участвует в жевании.
Можно ли ставить пломбу на зуб мудрости? Да, но только при соблюдении условий:
В таких случаях современные материалы позволяют провести качественное пломбирование.
Лечение зуба мудрости требует особого подхода:
В каждом случае наши специалисты проводят тщательную диагностику и предлагают оптимальное решение. Мы не действуем по шаблону — если зуб можно сохранить с гарантией долговечности, мы проведем качественное лечение. Если удаление неизбежно — выполним его максимально атравматично.
Не откладывайте решение проблемы! Запишитесь на консультацию в «СОЗВЕЗДИЕ СТОМАТОЛОГИЯ» — наши специалисты проведут диагностику и помогут принять правильное решение о судьбе вашего зуба мудрости.

Медицинская лицензия
ЛО-77-01-016470
от 8 августа 2018 года
ООО "Созвездие"
ИНН 7751048249
ОГРН 1177746539651
Имеются противопоказания, необходима консультация специалиста. Сайт не является публичной офертой и носит ознакомительный характер
