
Чувствительное удаление налета, устранение зубного камня и укрепление эмали — это все элементы профессиональной гигиены. В настоящее время это оптимальный метод для защиты зубов от кариеса и поддержания здоровья десен. Мы рекомендуем проходить профгигиену один раз в полгода (или согласно индивидуальному графику, который разработает ваш стоматолог)!
В нашей Авторской Стоматологии «Созвездие» работают заботливые и внимательные врачи, а также используется современное оборудование. Высококачественная профессиональная гигиена без стресса, боли и дискомфорта. Приходите к нам и убедитесь в нашем бережном подходе сами!
После установки брекетов требуется уделять особое внимание гигиене ротовой полости. Без регулярной профессиональной чистки нельзя обойтись, так как увеличивается вероятность возникновения кариеса! Для достижения красивой и ЗДОРОВОЙ улыбки следует посещать гигиениста каждые три месяца (или согласно индивидуальному расписанию). Мы проводим чистку на брекетах максимально аккуратно и безопасно, и обязательно подберем средства для домашнего ухода, которые подойдут именно вам.
Если вам провели имплантацию одного или нескольких зубов, вам потребуется специфический уход для поддержания отличного результата лечения. Основной причиной осложнений является недостаточная гигиена полости рта. Эту проблему можно решить с помощью профессиональной гигиенической процедуры, проводимой раз в 6 месяцев (или чаще).
В клинике “Созвездие» мы тщательно удаляем налет, особенно в области имплантатов. Это эффективная профилактика кариеса и других заболеваний без стресса, боли и дискомфорта.




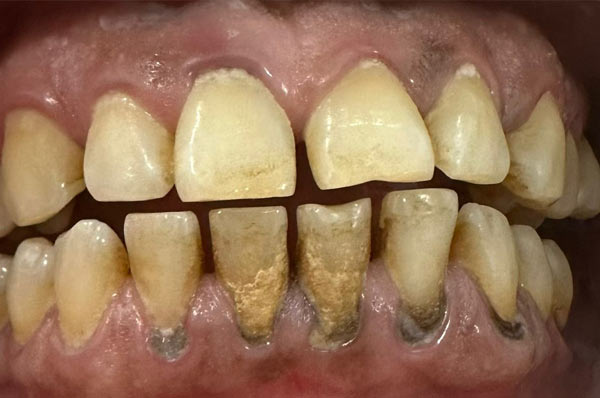
Работа стоматолога гигиениста Авторской стоматологии "Созвездие"
Пациентка обратилась в клинику за лечением и реставрацией полости рта. Пациентке было проведено: профгигиена, эндодонтическое лечение одного жевательного зуба и лечение поверхностного кариеса. Затем установлены циркониевые коронки и циркониевый виниры на передний нижний ряд.
Работа главного врача клиники - Хохлова Андрея Анатольевича
Primescan позволяет снимать высокоточные цифровые слепки всей челюсти
Бинокуляры Q-Optics предназначены для того, чтобы увеличить комфорт и точность в работе доктора
SpectroShade Micro - дентальный спектрофотометр способен обозначить все неоднородности на поверхности зуба
Система Vector позволяет проводить лечение пародонтита, пародонтоза, переимплантита и других заболеваний десен и пародонта
В нашей Авторской клинике «Созвездие» вы увидите чудеса цифровой стоматологии: мы создадим вашу улыбку на компьютере, подберем виртуальные варианты ее преображения с учетом индивидуальных особенностей лица и воплотим вашу мечту в жизнь. Особое внимание мы уделяем эстетике улыбки и тому, чтобы даже самые белоснежные зубы выглядели естественно.
«Уют даже в мелких деталях» — теперь так можно сказать не только про родной дом или городские кафе с интерьером комфортабельной квартиры, но и про нашу Авторскую стоматологию «Созвездие» под руководством Андрея Анатольевича Хохлова, которая находится в Хохловском переулке. Наша клиника открывает новое направление на бьюти-рынке и демонстрирует пример привычного для европейцев стандарта по уходу за собой, а также предлагает меню, включающее инновационные методики лечения, anti-age-реконструкцию улыбки, направленную на коррекцию овала лица, и авторские методики по эстетическому моделированию улыбки.
В едином пространстве уютной квартиры, которая делится на гостиную и три функциональных кабинета, соединяются инновационные технологии и стремление поддержать естественную красоту. Здесь для каждого пациента мы создаем атмосферу домашнего тепла и гостеприимства.
Более 3 000 благодарных пациентов за 6 лет
Медицинская лицензия
ЛО-77-01-016470
от 8 августа 2018 года
ООО "Созвездие"
ИНН 7751048249
ОГРН 1177746539651
Имеются противопоказания, необходима консультация специалиста. Сайт не является публичной офертой и носит ознакомительный характер




