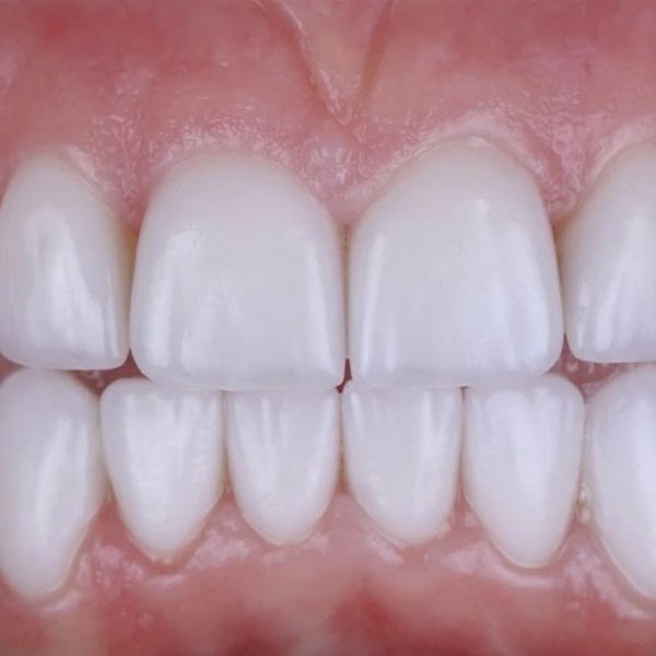
Разрушенный или сломанный зуб можно восстановить с помощью коронки. Это представляет собой несъемный «колпачок», который полностью имитирует анатомическую форму и размеры зуба.
Коронка на зуб позволяет сохранить собственный корень зуба, что дает возможность избежать имплантации. Ее можно установить как взрослому человеку, так и ребенку. Она возвращает улыбке естественную эстетику и обеспечивает полноценное восстановление жевательной функции.
Важно знать, что зубная коронка изготавливается индивидуально, чтобы соответствовать цвету, размеру и положению собственных зубов пациента. В этой статье мы рассмотрим, какие бывают зубные коронки, и ответим на вопрос, сколько стоит поставить коронку на зуб.
Самая частая причина установки коронки на зуб – разрушение зубного элемента более чем на 50%. При потере больше половины тканей пломба будет держаться ненадежно и не выдержит нагрузку, что может привести к расколу зуба. Коронка накрывает оставшиеся ткани, равномерно распределяет нагрузку и предотвращает дальнейшее разрушение зуба.
Установка зубных коронок рекомендуется при патологической стираемости эмали, наличии глубоких сколов и других выраженных эстетических дефектах. Их также используют при необходимости коррекции формы зуба для обеспечения правильного прикуса и защиты височно-нижнечелюстного сустава от функциональных перегрузок.
У процедуры установки коронки на зуб есть как временные, так и абсолютные противопоказания. К первой группе относятся острые инфекции, воспалительные процессы в ротовой полости, невылеченные кариес или пульпит. Кроме того, ставить коронки нельзя в период беременности.
К абсолютным противопоказаниям врачи относят те факторы, при которых процедура невозможна технически или опасна для здоровья. К таким противопоказаниям относятся тяжелые системные заболевания, онкология, патологии крови, аллергия на компоненты используемых материалов. Также препятствием может стать значительная подвижность зубов, при которой зубной корень способен стать опорой для конструкции.
Каждого пациента интересуют два вопроса про коронки на зубы: какие бывают и цены на них. Давайте разберемся, какие существуют типы зубных коронок и чем они отличаются.
В современной стоматологии применяют три вида материалов для изготовления коронок – металлокерамику, диоксид циркония, безметалловую керамику (E-max). Каждый из этих материалов имеет свои преимущества, особенности и сферу применения.
Металлокерамическая коронка на зуб, цена такой реставрации является самой бюджетной. Металлокерамика сочетает прочность металлической основы с эстетической привлекательностью керамики, соответствующей цвету эмали естественного зуба. Однако у металлокерамических коронок есть ограничения по эстетике: со временем у десны может появиться темная кайма из-за окисления металла.
Это материал на основе дисиликата лития, по своим оптическим свойствам он полностью идентичен натуральной эмали. Коронки E-max характеризуются высокой износостойкостью и реалистичным внешним видом
Обладают исключительной прочностью и долговечностью, имеют естественный внешний вид. Они биосовместимы, поэтому подходят людям с аллергией на металлы. Из диоксида циркония можно сделать как 1 коронку, так и мост.
Далее мы расскажем, как ставят коронку на зуб в стоматологической клинике, и сколько визитов для этого потребуется. От того, как делают коронку на зуб, зависит длительность и стоимость услуги.
Стандартный протокол протезирования подразумевает два визита к врачу. Благодаря современным местным анестетикам все манипуляции проходят абсолютно безболезненно.
Чтобы понять, как ставится коронка на зуб, нужно разобраться, из каких этапов состоит процедура, и какие манипуляции проводятся во время каждого визита.
Для того чтобы коронка выглядела естественно, врач подбирает цвет по шкале Вита (Vita). Это эталонная система подбора цвета, позволяющая сопоставить яркость, интенсивность и тон будущей реставрации с соседними зубами. Правильно подобранный оттенок гарантирует, что коронка не будет выделяться даже при направленном искусственном свете или ярком солнце.
Многие пациенты привыкли, что перед протезированием нужно «удалять нерв», однако современная стоматология стремится сохранять зубы живыми. Если состояние пульпы позволяет, то коронку рекомендуется установить на «живой» зуб, чтобы сохранить естественное питание тканей и обеспечить долговечность опоры. Однако такая процедура требует от ортопеда высокой квалификации.
Отвечая на вопрос, сколько стоит коронка на зуб, врач учитывает три фактора:
Материал коронки – один из ключевых факторов ценообразования. Цирконий и безметалловая керамика стоят дороже металлокерамики.
Стоимость коронки на зуб в Москве напрямую зависит от используемых технологий. Применение 3D-моделирования существенно улучшает точности прилегания, но повышает стоимость реставрации.
По итогам диагностики может выясниться, что требуется лечение каналов зуба, установка культевой вкладки (штифта) для создания надежной опоры или другие подготовительные манипуляции. Все это отражается на сроках и цене протезирования.
Важно понимать, что качественная коронка — это долгосрочная инвестиция в здоровье. Дешевые материалы и ошибки в прилегании могут привести к потере зуба уже через 2–3 года, в то время как качественная работа служит 10+ лет.
Боль под коронкой или неприятный запах – признаки развития вторичного кариеса, воспаления десны или нарушения герметичности. При наличии подобных симптомов необходимо немедленно обратиться к врачу для снятия коронки, лечения зуба и установки новой реставрации.
Если коронка расцементировалась и выпала, постарайтесь сохранить ее и как можно скорее записаться на прием. Не пытайтесь приклеить ее самостоятельно бытовым клеем — это безвозвратно испортит как протез, так и опорный зуб.
Небольшой скол коронки чаще всего можно устранить непосредственно во рту с помощью композитных материалов, не снимая всю конструкцию.
Многие пациенты опасаются процесса снятия старых конструкций, но в современной стоматологии это совершенно безболезненная процедура. Врач аккуратно распиливает коронку специальным бором или использует специальные инструменты. Старая коронка разделяется на части и снимается, при этом ткани опорного зуба остаются в безопасности. После этого проводится осмотр и принимается решение о повторном протезировании.
Primescan позволяет снимать высокоточные цифровые слепки всей челюсти
Бинокуляры Q-Optics предназначены для того, чтобы увеличить комфорт и точность в работе доктора
SpectroShade Micro - дентальный спектрофотометр способен обозначить все неоднородности на поверхности зуба
Система Vector позволяет проводить лечение пародонтита, пародонтоза, переимплантита и других заболеваний десен и пародонта
В нашей Авторской клинике «Созвездие» вы увидите чудеса цифровой стоматологии: мы создадим вашу улыбку на компьютере, подберем виртуальные варианты ее преображения с учетом индивидуальных особенностей лица и воплотим вашу мечту в жизнь. Особое внимание мы уделяем эстетике улыбки и тому, чтобы даже самые белоснежные зубы выглядели естественно.
«Уют даже в мелких деталях» — теперь так можно сказать не только про родной дом или городские кафе с интерьером комфортабельной квартиры, но и про нашу Авторскую стоматологию «Созвездие» под руководством Андрея Анатольевича Хохлова, которая находится в Хохловском переулке. Наша клиника открывает новое направление на бьюти-рынке и демонстрирует пример привычного для европейцев стандарта по уходу за собой, а также предлагает меню, включающее инновационные методики лечения, anti-age-реконструкцию улыбки, направленную на коррекцию овала лица, и авторские методики по эстетическому моделированию улыбки.
В едином пространстве уютной квартиры, которая делится на гостиную и три функциональных кабинета, соединяются инновационные технологии и стремление поддержать естественную красоту. Здесь для каждого пациента мы создаем атмосферу домашнего тепла и гостеприимства.
Более 3 000 благодарных пациентов за 6 лет
Медицинская лицензия
ЛО-77-01-016470
от 8 августа 2018 года
ООО "Созвездие"
ИНН 7751048249
ОГРН 1177746539651
Имеются противопоказания, необходима консультация специалиста. Сайт не является публичной офертой и носит ознакомительный характер




